院長コラム
Director's column
ホーム » 院長コラム » 呼吸器の病気あれこれ » Q加湿器肺炎にまつわるあれこれ
Q加湿器肺炎にまつわるあれこれ
急に寒くなってきて,それとともに空気も乾燥してきました。いつの間にか唇がカサカサしたり,手足や背中がムズムズかゆくなったり,体にも乾燥の影響を感じ始める季節です。
適度に湿度が低いのは体感的にも気持ちが良いですが,人間が快適に過ごせる湿度は40~60%程度といわれており,冬場にエアコンなどを用いるとすぐに40%を下回ってしまいます。
冬場に乾燥した部屋で一晩すごして,翌日のどが痛くてしょうがないなんて経験をされている方は,きっと少なくないと思います。
Q.湿度と風邪って,関係あるの?
この表は,インフルエンザウイルスの活性と湿度について調べた論文から抜粋したものです。
(PLoS One. 2013;8(2):e57485.)
グラフの縦軸がインフルエンザの活発さ,横軸は湿度です。
湿度が5%~20%程度までは,インフルエンザは非常に活発で,30%程度くらいになるとややその活発さが落ち,40%~70%くらいまではその活発さが急に落ちることがわかります。
一般的に風邪に代表されるような,鼻,のど,空気の通り道の上の方をターゲットに攻撃してくるウイルスは似たような性質をもっています。
つまり湿度が低ければこういったウイルス感染症にかかりやすいといえます。
Q.乾燥すると,空気の通り道の防御力も下がる!
左のイラストは空気の通り道の細胞の様子です。一番上に何本ものヒゲのようなものが生えていますが,これは「繊毛」とよばれ,細胞の表面に非常にこまかなほうきのように生えている毛です。
十分に湿度が保たれている状態では,この繊毛は滑らかに動いて,繊毛に付着するウイルスや細菌を洗い流してくれますが,気管や気管支が乾燥して水分量が不足すると,繊毛がうごきづらくなり,防御する力が下がってしまい,細胞の表面にウイルスや細菌が付着して停滞してしまいます。
その結果,細胞内にウイルスや細菌の侵入を許してしまうことになる,これが感染です。
Q.加湿器肺炎ってなぁに
加湿器によって肺炎が起こるって,ご存知でしょうか?先日も女優の矢沢心さんがこの「加湿器肺炎」になってしまったというニュースがありました。
(https://news.yahoo.co.jp/articles/036ff959871fdf7217ae8c2ea89251b31a18ef33)
この加湿器肺炎という病気は,正確には「過敏性肺臓炎」というアレルギーによる肺炎です。
加湿器には水をいれるタンクがありますよね。そのタンクに水を補充して,タンクの中の水に熱を加えたり,ファンで風をあてたり,あるいは超音波で振動させたりすることで,タンク内の水を空気中にばらまきます。
これが加湿器の仕組みです。
このタンクに水を入れっぱなしにしておくと,タンク内には少しずつ細菌やカビが増えていきます。
久しぶりにタンクの中をみたら,カビが生えていたことに気づいたなんていう方もいるかもしれません。
汚れたタンクの水が空気中にカビや細菌と一緒に部屋中に巻き散らかされ,それを吸うことで体がアレルギーを起こした結果が加湿器肺炎です。
Q.どんな症状がでるの?どうやって診断するの?
よごれたタンクから出た水蒸気をすったあと,4時間~6時間で発熱,咳や息切れが生じるのがもっとも典型的です。パッと見た症状は風邪と簡単には見分けがつきません。
さらにやっかいなことにレントゲンでも,この加湿器肺炎が分かりづらいこともが非常に多いです。そのため病院を受診してもすぐに「加湿器肺炎」が疑われることはほとんどないと思います。色々治療をしてみてもよくならなかったり,症状が長引いたりすることで,もう少し詳しく調べようという発送にいきつきます。そこで初めて登場する検査が,胸部CT検査です。草ヶ谷医院でもなかなか咳が治らない方にたいして,胸部CT検査を追加して実施することがあります。
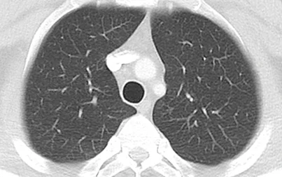
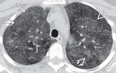
左が正常の胸部CT写真,右が過敏性肺臓炎のCT写真です。粉雪のような淡い白い影が肺全体に広がっていることがわかります。淡い影のため,レントゲンではあたかも正常のように見えてしまうこともありますが,胸部CTでは見逃すことは
(Case courtesy of Bruno Di Muzio, Radiopaedia.org, rID: 41162)
ありません。この画像を見た場合には,クリニックではできない検査をうけてもらうために総合病院に紹介となります。
総合病院では「気管支鏡検査」という,肺の中に細い内視鏡(カメラ)をいれる検査を行ったり,入院することで原因の加湿器から離れて症状がよくなることなどを合わせて,ようやくこの「加湿器肺炎」の診断にいきつきます。
Q.じゃあどうすればいいの?
もっとも簡単で有効なのは水の入っているタンクを定期的に掃除することです。水を継ぎ足しはせず,2日に1度程度は水を入れ替える,1週間に1回は必ずきれいに洗剤で洗うくらいの丁寧さがいいでしょう。
この加湿器肺炎の原因の一つとして,微生物の細胞をつくる「壁」に含まれている,「エンドトキシン」という物質が悪いのではないかという報告もされています。
左の表では加湿気のタンクの水と,保存水の中のエンドトキシンの濃度を比べています。縦軸はエンドトキシンの濃度,横軸は日数です。保存水のエンドトキシン濃度(▲)は7日後もあまり上昇していませんが,加湿器の水(✕)では5日ころからエンドトキシン濃度が急上昇するのがわかります。この表からも,水はなるべく早めに入れ替えたほうがよさそうです。(金勲, 他. 空気調和・衛星工学大会学術講演論文集. 2018. 7. A-32.)
ただしこの加湿器肺炎,みんながなるわけではなりません。同じ加湿器の水分を吸っていても症状が出てしまう人と,まったく出ない人がいます。この病気自体もそれほど多い病気ではないため,過度に神経質になる必要はありません。またしっかりと診断がつけば,治療によってしっかりと治すことができます。恐れすぎてしまって,加湿器を使わないで!というつもりは全くありません。
Q加湿器の種類について
Panasonicホームページによると,加湿器には,
1)水をフィルターに染み込ませて風をあてて蒸発させる気化式タイプ
2)超音波で水を振動させてミストを発生させる超音波式タイプ
3)ヒーターで水を温めて蒸発させるスチーム式タイプ
のほか,それらを組み合わせたものがあります。
これらの中で水を温めるタイプの方が雑菌の繁殖が遅いといわれています。
加湿器選びの際の参考にしてみてください。






